矯正治療
当診療室のアプローチ
乳歯列から永久歯列への生え変わりの時期は、その子のアゴの正常な発育を促進する上で大切な時期と考えております。
放置することによりアゴの骨の発育に影響し、本来その子の持つ顔の形にまで、影響を与えてしまうこともあります。

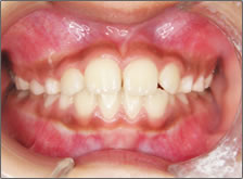
- (診療開始)
簡単な装置を使い治療を開始することにしました。


ワイヤーとバンドで構成され、1~2歯を裏側から細いスプリングを使って動かす装置です。
発音障害もなく、食べ物にもあまり制約のない装置で、歯ブラシがしやすいことから、使用頻度が比較的高い装置です。

- (治療終了)
装着期間は、治療の開始が遅かったこともあり、10ヶ月と比較的期間のかかったケースでした。
前歯の前後関係の改善により、横顔の改善が認められます。


乳歯列は、発育の段階で、歯の素材がそろっていない、成長の予測がつきにくいなどの理由で早期治療が敬遠されることもあります。
しかし、かみ合わせを正常化することで、アゴや顔の発育、舌の機能や顔の形が、それにあわせて発達します。
私たちは、早いうちに不正の芽を摘み取るという視点から、予防に取り組み、必要によっては、早期矯正を行い診療に取り組んでおります。
一見お口に関係なさそうな癖も、実は歯並びに悪影響を与えていることがあります。
- 指しゃぶり
- 爪を噛む
- 唇を噛む
- 歯ぎしり
- 口呼吸など
このような日常の癖による不正咬合は、お子様のよくない生活習慣病が引き起こした症状とも言えるでしょう。何気ない癖が与える影響は非常に大きいもの。そういった癖を治していくことも小児矯正治療の目的のひとつなのです。
床矯正
取りはずしができる入れ歯に似た装置を使い、あごの大きさを広げていく矯正治療です。
あごを広げ、重なった歯を正しい位置に誘導していくという合理的な治療です。
お子様の成長が止まるのは、およそ女の子で15歳、男の子で18歳と言われていおり、あごの骨格を誘導できるのは、それまでがリミット。
成長期のうちに矯正治療を行うことは、とても大切なことなのです。
症例紹介
矯正治療の必要性
歯並びが悪いと、噛み合わせも悪いので、体の健康にも悪影響をあたえてしまいます。
豊かな顔の表情を大切にする欧米では美しい歯並びが常識になっています。
少し前の日本では八重歯がチャームポイントとなっていましたが、最近では歯並びに対する意識が変わり、審美から健康へと変化しています。
歯並びを治す矯正治療は病気を治すのと同じく、正しい歯並びをと健康な体をつくる治療なのです。
症例紹介 叢生(非抜歯治療)
症例紹介 上顎前突(抜歯矯正治療)
親御様から非常によくある質問です。その時期を、多くの場合永久歯の前歯と奥歯が生えてくる頃である7歳前後とお答えしています。
また、3歳、4歳頃に始めたほうがよいケースもありますので気になる方はご相談下さい。







